
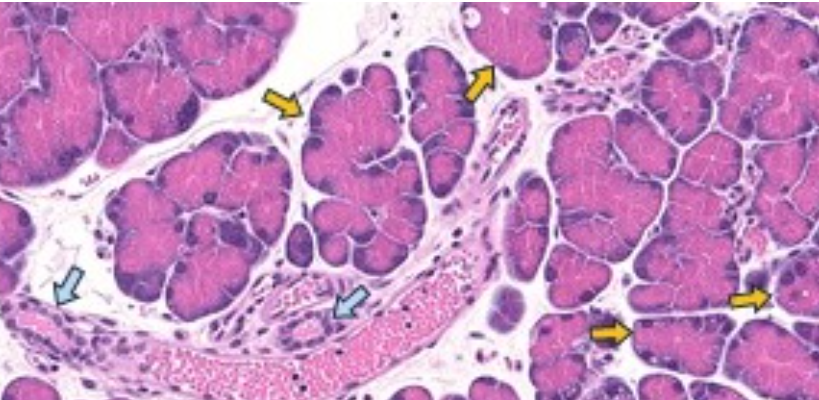
Johns Hopkins Medicine scientists say they have found a pattern of so-called epigenetic “marks” in a transition state between normal and pancreatic cancer cells in mice, and that the normal cells may keep at least a temporary “memory” of those cancer-linked marks.